Такие наборы обычно включают размягчаемую заготовку, которая превращается в гель и наносится на поврежденный участок зуба. Некоторые производители даже предлагают подбор цвета пломбы. Однако установка подобного материала без предварительной дезинфекции, удаления пораженных тканей и правильной обработки полости может привести к серьёзным осложнениям — от пульпита до периодонтита.
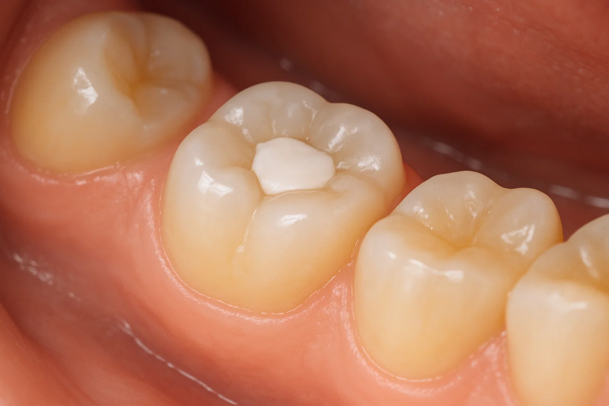
Вероника Мелехова подчеркнула, что в профессиональной стоматологии перед установкой пломбы врач обязательно удаляет остатки пищи, бактерии и кариозный дентин, а также применяет специальные связующие материалы — бонд и праймер. Только затем наносится пломбирующий состав в несколько слоёв с учётом анатомии зуба.
В случае самостоятельной пломбировки эти этапы игнорируются. В результате пломба оказывается негерметичной, что создаёт благоприятные условия для размножения бактерий. Воздух в полость зуба не поступает, что ускоряет развитие инфекции. Уже через несколько дней пациент может столкнуться с болью, вовлечением нервов и воспалением на верхушке корня. Лечение таких осложнений обходится дороже и требует больше времени, а зуб зачастую становится «мертвым».
Кроме того, под подобными материалами зубные ткани могут разрушаться быстрее, что увеличивает риск полной потери зуба и необходимости имплантации.
Мелехова подытожила в беседе с aif.ru, что использовать такие наборы можно только в экстренных случаях — при внезапном сколе или обнаружении полости, чтобы временно закрыть дефект до визита к врачу. В остальных ситуациях подобное вмешательство может нанести больше вреда, чем пользы.
Ранее стоматолог также призвала не спешить с выводами по делу о коме после лечения зубов у ребенка в Одинцове.
